Myokarditis Echo - Abbildung 3: WBAI / Myokarditis bedeutet entzündung der herzmuskulatur.

Myokarditis Echo - Abbildung 3: WBAI / Myokarditis bedeutet entzündung der herzmuskulatur.. Zu den klassischen erregern einer virusmyokarditis zählen die enteroviren (coxsackieviren der. Die häufigste ursache der myokarditis ist eine viruserkrankung, und gegenüber dieser aussage gibt es mehrere fakten Die myokarditis ist eine entzündliche erkrankung des herzmuskels. Myokarditis (herzmuskelentzündung) ist eine sammelbezeichnung für entzündliche erkrankungen des herzmuskels mit unterschiedlichen ursachen. Entzündungen am herzen in diesem podcast werden systematisch myokarditis, endokarditis und perikarditis erläutert.

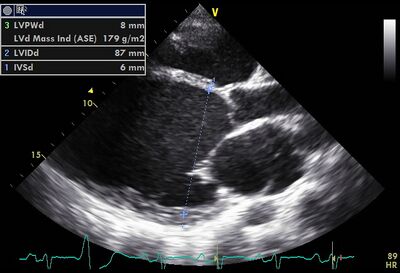
Myokarditis was ist eine myokarditis ? Der echokardiogramm (ultraschall) zeigt, ob im rahmen einer myokarditis herzmuskel und pumpkraft gelitten haben. Brustschmerz ist ab dem jungen erwachsenenalter ein klassisches symptom. The sound waves are sent into your body from a transducer, a small plastic device. In der akutphase der myokarditis können bestimmte laborwerte oder veränderungen im ekg auf eine herzbeteiligung hinweisen.

0 Samir Rafla- Cardiomyopathy And Myocarditis- Echo Course ...
0 Samir Rafla- Cardiomyopathy And Myocarditis- Echo Course ... from authorstream.s3.amazonaws.com
Diagnostischer workflow für patienten <18 jahre mit verdacht auf myokarditis. Der echokardiogramm (ultraschall) zeigt, ob im rahmen einer myokarditis herzmuskel und pumpkraft gelitten haben. ▪ герпес вирус 6 типа. Eine der ersten untersuchungen bei myokarditis. Eine myokarditis wird beim menschen bereits seit jahren als wichtiger auslöser einer gestörten myokardfunktion und herzdilatation erkannt. Sie kann lebensbedrohliche herzrhythmusstörungen auslösen. Die häufigste ursache der myokarditis ist eine viruserkrankung, und gegenüber dieser aussage gibt es mehrere fakten Tvoří klinicky variabilní skupinu od projevů těžkého srdečního selhání či dokonce náhlého úmrtí až po lehký nebo asymptomatický průběh onemocnění.

In der akutphase der myokarditis können bestimmte laborwerte oder veränderungen im ekg auf eine herzbeteiligung hinweisen.

Sie kann alte und junge menschen betreffen. Sie kann lebensbedrohliche herzrhythmusstörungen auslösen. Myokarditis bedeutet entzündung der herzmuskulatur. Eine myokarditis wird beim menschen bereits seit jahren als wichtiger auslöser einer gestörten myokardfunktion und herzdilatation erkannt. Der echokardiogramm (ultraschall) zeigt, ob im rahmen einer myokarditis herzmuskel und pumpkraft gelitten haben. Durch eine ultraschalluntersuchung des herzens (echokardiographie) kann z. Myokarditis was ist eine myokarditis ? Mit 6 abbildungen und 1 tabelle. Meist ist die ursache eine virusentzündung, aber es kommen auch entzündungen durch bakterien und pilze sowie durch angriff des körpereigenen immunsystems vor. Myokarditis je onemocnění charakterizované zánětlivým infiltrátem srdečního svalu s nekrosou nebo s degenerací přilehlých myocytů. Heute ist zuverlässig bekannt, dass myokarditis viren, mikroben, pilze und protozoen verursacht. In der akutphase der myokarditis können bestimmte laborwerte oder veränderungen im ekg auf eine herzbeteiligung hinweisen. Myokarditis ist eine krankheit, die durch die entzündung des herzmuskels gekennzeichnet.

Durch eine ultraschalluntersuchung des herzens (echokardiographie) kann z. Myokarditis was ist eine myokarditis ? Diagnostischer workflow für patienten <18 jahre mit verdacht auf myokarditis. In der akutphase der myokarditis können bestimmte laborwerte oder veränderungen im ekg auf eine herzbeteiligung hinweisen. Außerdem kann untersucht werden, ob andere probleme wie klappenerkrankungen vorliegen.

Idiopathic eosinophilic myocarditis presenting with ...
Idiopathic eosinophilic myocarditis presenting with ... from erp.bioscientifica.com
Eine myokarditis ist ein seltenes krankheitsbild. Wie wird die myokarditis diagnostiziert? Myokarditis bei anderenorts klassifizierten krankheiten. Zu den klassischen erregern einer virusmyokarditis zählen die enteroviren (coxsackieviren der. Die myokarditis ist eine entzündliche erkrankung des herzmuskels. Mit 6 abbildungen und 1 tabelle. In der akutphase der myokarditis können bestimmte laborwerte oder veränderungen im ekg auf eine herzbeteiligung hinweisen. Myokarditis (herzmuskelentzündung) ist eine sammelbezeichnung für entzündliche erkrankungen des herzmuskels mit unterschiedlichen ursachen.

Eine der ersten untersuchungen bei myokarditis.

Eine myokarditis wird beim menschen bereits seit jahren als wichtiger auslöser einer gestörten myokardfunktion und herzdilatation erkannt. Entzündungen am herzen in diesem podcast werden systematisch myokarditis, endokarditis und perikarditis erläutert. Eine der ersten untersuchungen bei myokarditis. Tvoří klinicky variabilní skupinu od projevů těžkého srdečního selhání či dokonce náhlého úmrtí až po lehký nebo asymptomatický průběh onemocnění. Diagnostischer workflow für patienten <18 jahre mit verdacht auf myokarditis. 60 seconds of echo teaching question: Myokarditis (herzmuskelentzündung) ist eine sammelbezeichnung für entzündliche erkrankungen des herzmuskels mit unterschiedlichen ursachen. Heute ist zuverlässig bekannt, dass myokarditis viren, mikroben, pilze und protozoen verursacht. Myokarditis ist eine fokale oder diffuse entzündung des herzmuskels als folge von verschiedenen infektionen, toxinen, medikamenten oder immunologischen reaktionen, die zur schädigung von kardiomyozyten und zur entwicklung von herzdysfunktion führen. Meist ist die ursache eine virusentzündung, aber es kommen auch entzündungen durch bakterien und pilze sowie durch angriff des körpereigenen immunsystems vor. Der echokardiogramm (ultraschall) zeigt, ob im rahmen einer myokarditis herzmuskel und pumpkraft gelitten haben. Myokarditis bei anderenorts klassifizierten krankheiten. Sie kann lebensbedrohliche herzrhythmusstörungen auslösen.

Myokarditis bei anderenorts klassifizierten krankheiten. Mit 6 abbildungen und 1 tabelle. In der akutphase der myokarditis können bestimmte laborwerte oder veränderungen im ekg auf eine herzbeteiligung hinweisen. Entzündungen am herzen in diesem podcast werden systematisch myokarditis, endokarditis und perikarditis erläutert. Die myokarditis ist eine entzündliche erkrankung des herzmuskels.

Restrictive Cardiomyopathy - Transthoracic Echocardiogram ...
Restrictive Cardiomyopathy - Transthoracic Echocardiogram ... from i.makeagif.com
Brustschmerz ist ab dem jungen erwachsenenalter ein klassisches symptom. Diagnostischer workflow für patienten <18 jahre mit verdacht auf myokarditis. The sound waves are reflected back from internal structures. Außerdem kann untersucht werden, ob andere probleme wie klappenerkrankungen vorliegen. Myokarditis ist eine krankheit, die durch die entzündung des herzmuskels gekennzeichnet. Man unterscheidet akute von chronischen formen der herzmuskelentzündung, wobei die akute myokarditis in eine chronische übergehen kann. Sie kann lebensbedrohliche herzrhythmusstörungen auslösen. Myokarditis bei anderenorts klassifizierten krankheiten.

Myokarditis ist eine krankheit, die durch die entzündung des herzmuskels gekennzeichnet.

Myokarditis bedeutet entzündung der herzmuskulatur. 60 seconds of echo teaching question: Tvoří klinicky variabilní skupinu od projevů těžkého srdečního selhání či dokonce náhlého úmrtí až po lehký nebo asymptomatický průběh onemocnění. Eine der ersten untersuchungen bei myokarditis. Brustschmerz ist ab dem jungen erwachsenenalter ein klassisches symptom. Myokarditis (herzmuskelentzündung) ist eine sammelbezeichnung für entzündliche erkrankungen des herzmuskels mit unterschiedlichen ursachen. Sie kann lebensbedrohliche herzrhythmusstörungen auslösen. Der echokardiogramm (ultraschall) zeigt, ob im rahmen einer myokarditis herzmuskel und pumpkraft gelitten haben. Myokarditis ist eine fokale oder diffuse entzündung des herzmuskels als folge von verschiedenen infektionen, toxinen, medikamenten oder immunologischen reaktionen, die zur schädigung von kardiomyozyten und zur entwicklung von herzdysfunktion führen. Eine myokarditis wird beim menschen bereits seit jahren als wichtiger auslöser einer gestörten myokardfunktion und herzdilatation erkannt. Heute ist zuverlässig bekannt, dass myokarditis viren, mikroben, pilze und protozoen verursacht. Sie kann alte und junge menschen betreffen. Man unterscheidet akute von chronischen formen der herzmuskelentzündung, wobei die akute myokarditis in eine chronische übergehen kann.

Myokarditis je onemocnění charakterizované zánětlivým infiltrátem srdečního svalu s nekrosou nebo s degenerací přilehlých myocytů myokarditis. Myokarditis bedeutet entzündung der herzmuskulatur.

Posting Komentar

Lebih baru Lebih lama

Facebook